Each post is a different clinical case. The intention is to discuss the cases in the comments.
Wednesday, December 19, 2007
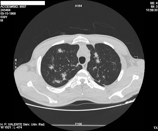
Young male with clinical information of HIV and Pulmonary Tuberculosis
Case by Dr. João Alpendre/ Dr. Luis Tata
This CT change the diagnosis. What you think?
4 comments:
Anonymous
said...
There are multiple bilateral areas of flame shaped consolidation.No zone predilection. Of course TBC is often in HIV pts and should always be in the differential. In HIV pts, pulmonary tuberculosis can appear wherever and there is no radiological pattern that can exclude it. The key question is if this patient has a bacteriological diagnosis (sputum/washings/gastric fluid). The abscence of cavitation is against TBC BUT this CANNOT rule it out. Personally, this radiological pattern (FLAME shaped nodular areas of consolidation)is highly suggestive of sarcoma KAPOSI. The differential also includes - pulmonary lympoma - fungal infection (although no halo sign is seen) - viral infection - common pathogens In clinical practice I think it should be treated as common pneumonia until proven otherwise, keeping in mind that TBC, fungal, viral infections are a possibility. Since sarcoma Kaposi is highly suggestive by CT a bronchoscopy (with BAL/transbronchial biopsy) or even VATS/lung biopsy should follow if the patient won't respond to the antibiotic therapy or if other pathogens are identified. Thank you. P.S. You're doing a nice job. Keep it up. This blog can be very educational!
Thank´s for your kind words Vasilios. Very important for us. Great comment and diferencial. After the CT the patient underwent a bronchoscopy that confirm Kaposi.
By the way Luis, please email-me, i'm in Boston and can't find your email adress, but i showed this blog to some people here. I'll tell you more about it.
4 comments:
There are multiple bilateral areas of flame shaped consolidation.No zone predilection.
Of course TBC is often in HIV pts and should always be in the differential. In HIV pts, pulmonary tuberculosis can appear wherever and there is no radiological pattern that can exclude it. The key question is if this patient has a bacteriological diagnosis (sputum/washings/gastric fluid). The abscence of cavitation is against TBC BUT this CANNOT rule it out.
Personally, this radiological pattern (FLAME shaped nodular areas of consolidation)is highly suggestive of sarcoma KAPOSI.
The differential also includes
- pulmonary lympoma
- fungal infection (although no halo sign is seen)
- viral infection
- common pathogens
In clinical practice I think it should be treated as common pneumonia until proven otherwise, keeping in mind that TBC, fungal, viral infections are a possibility. Since sarcoma Kaposi is highly suggestive by CT a bronchoscopy (with BAL/transbronchial biopsy) or even VATS/lung biopsy should follow if the patient won't respond to the antibiotic therapy or if other pathogens are identified.
Thank you.
P.S.
You're doing a nice job. Keep it up. This blog can be very educational!
Thank´s for your kind words Vasilios. Very important for us. Great comment and diferencial. After the CT the patient underwent a bronchoscopy that confirm Kaposi.
thank you
i think first possibilty is pneumocystis carnii infection
Pulmonary Kaposi, typical apearance!
By the way Luis, please email-me, i'm in Boston and can't find your email adress, but i showed this blog to some people here. I'll tell you more about it.
Abraços, Zé
Post a Comment